Медицина для вас
Дыхательная система обеспечивает организм кислородом, и любые сбои в ее работе быстро отражаются на самочувствии. У человека появляются кашель, одышка, стеснение или боль в груди, слабость и снижение переносимости нагрузок. Эти симптомы могут сопровождать как легкие воспалительные процессы, так и серьезные заболевания легких и бронхов.
Точно определить причину нарушений, врачу помогает диагностика дыхательной системы.
Сегодня для обследования легких применяют десятки методов — от простого рентгена до высокоточных компьютерных томографий и функциональных тестов. Каждый из них дает важную информацию: показывает состояние легочной ткани, выявляет скрытое воспаление, определяет степень сужения бронхов или оценивает эффективность газообмена.
Важно понимать, что ни один метод не является универсальным. Врач подбирает обследование индивидуально, в зависимости от симптомов, возраста пациента и сопутствующих заболеваний.
В этой статье мы подробно разберем все основные методы диагностики дыхательной системы: визуальные, функциональные, лабораторные и эндоскопические.
Эта статья предназначена для пациентов и их близких и помогает понять, какие методы диагностики дыхательной системы существуют, в каких случаях они применяются и чем отличаются друг от друга. Но материал не заменяет консультацию врача.

Диагностика дыхательной системы проводится в тех случаях, когда есть подозрение на нарушение работы легких, бронхов или плевры. Чаще всего обследование назначают при следующих симптомах:
Эти жалобы могут сопровождать широкий спектр заболеваний — от аллергического воспаления и бронхиальной астмы до ХОБЛ, интерстициальных болезней легких, опухолей или последствий перенесенных инфекций.
Регулярная диагностика важна и для пациентов с хроническими заболеваниями дыхательной системы: она позволяет контролировать течение болезни, корректировать лечение и своевременно выявлять осложнения.
Также обследование необходимо, если на профилактической флюорографии обнаружены какие-либо изменения — затемнение, усиление легочного рисунка или признаки воспаления. Даже минимальные отклонения требуют уточнения, особенно у пациентов с факторами риска: курением, аллергией, хроническими заболеваниями или профессиональным вредностями.
Сравнение методов диагностики дыхательной системы (таблица)
| Метод | Что показывает | Преимущества | Недостатки | Показания |
|---|---|---|---|---|
| Рентген грудной клетки | Структура легких, бронхов, плевры | Быстро, доступно | Низкая детализация, лучевая нагрузка | Кашель, одышка, травмы, пневмония |
| МРТ | Мягкие ткани, сосуды, средостение | Нет лучевой нагрузки | Дорого, дольше | Опухоли, сосудистые патологии |
| КТ / МСКТ | Детальная структура легких, очаги воспаления | Высокая точность | Лучевая нагрузка, стоимость | Хронические заболевания, опухоли, сложные случаи |
| УЗИ плевры | Наличие жидкости, диафрагма | Безопасно, быстро | Только плевральная полость | Подозрение на плеврит, жидкость |
| Спирометрия | Объем и скорость дыхания | Быстро, функциональная оценка | Не показывает структуру | Астма, ХОБЛ, оценка |
| Плетизмография | Объем легких, сопротивление дыхательных путей | Точная функциональная оценка | Требует оборудования | ХОБЛ, астма, интерстициальные болезни |
| Пикфлоуметрия | Максимальная скорость выдоха | Домашний контроль | Не показывает структуру | Астма, контроль лечения |
| Бронхоскопия | Внутрибронхиальное состояние, воспаление, опухоли | Возможность взять биопсию | Инвазивно, требует подготовки | Подозрение на опухоль, хронический бронхит, инородное тело |
| Лабораторные анализы (кровь, мокрота, ПЦР) | Воспаление, инфекции, аллергены | Точный анализ процессов | Не показывает структуру | Подозрение на инфекцию, аллергические реакции |
Визуальные методы позволяют врачу увидеть структуру легких, бронхов, плевры и органов средостения. Это основной этап диагностики, поскольку именно изображения дают представление о масштабах и характере изменений.
Некоторые исследования являются базовыми и используются практически всегда, другие — более точные и назначаются по показаниям.
Кратко:
Рентген — самый распространенный и доступный метод диагностики. С его помощью можно быстро оценить состояние легочных полей, корней легких, расположение и размеры сердца, состояние плевры.
Что показывает рентген:
Когда назначается:
Ограничения метода:
Альтернатива:
Рентген удобен как для первичного осмотра, так и для динамического наблюдения. Однако метод имеет ограничения: он не выявляет мелкие очаги воспаления или небольшие опухоли, а некоторые заболевания могут маскироваться под норму. Поэтому при сомнениях назначают более точные методы.
На практике рентгенография чаще всего используется как первый этап диагностики.
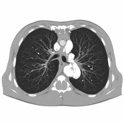
Кратко:
КТ дает послойное изображение легких в высоком разрешении. Исследование в разы информативнее рентгена и позволяет увидеть даже минимальные изменения в легочной ткани.
Когда назначают КТ:
Ограничения КТ:
Альтернатива:
КТ помогает врачу точно определить локализацию и характер изменений и выбрать правильную тактику лечения.
В клинической практике КТ назначается, если данные рентгена недостаточны.
МСКТ — усовершенствованный вариант КТ, при котором используется несколько рядов детекторов. Это позволяет получить изображение за секунды, а детализация становится еще выше.
Преимущества МСКТ:
МСКТ особенно полезна при астме, ХОБЛ, интерстициальных заболеваниях легких и смешанных формах патологии.
МРТ реже используют для обследования легких, потому что воздух плохо визуализируется магнитным полем. Но метод имеет важные преимущества.
Наиболее информативна МРТ для диагностики:
Когда МРТ не является методом выбора:
МРТ не использует рентгеновские лучи, что делает ее безопасной для некоторых категорий пациентов.
Хотя легкие нельзя визуализировать при помощи УЗИ, исследование отлично подходит для оценки плевры.
Что определяет УЗИ:
Метод абсолютно безопасен и применяется как для диагностики, так и для контроля лечения, а также для навигации при плевральной пункции.
Функциональные методы позволяют оценить не структуру легких, а то, как они работают: насколько хорошо воздух проходит по бронхам, каковы объемы вдоха и выдоха, и достаточно ли эффективно кислород поступает в кровь. Эти исследования особенно важны при астме, ХОБЛ, одышке и хроническом кашле.
Функциональные тесты нередко выявляют нарушения раньше, чем визуальные методы.
Кратко:
Спирометрия — один из основных методов диагностики заболеваний дыхательных путей. Во время исследования пациент выполняет серию глубоких вдохов и быстрых выдохов через специальный прибор — спирометр.
Позволяет оценить:
Спирометрия незаменима при диагностике бронхиальной астмы и ХОБЛ, помогает определить тяжесть заболевания и корректировать лечение.
Когда спирометрия может быть недостоверной:
Альтернатива / дополнение:
Более точный вариант функционального исследования. Пациент находится в прозрачной кабине, а прибор измеряет давление и объемы воздуха в легких.
Метод определяет:
Эти данные важны при тяжелой обструкции, эмфиземе, интерстициальных заболеваниях.
DLCO показывает, насколько эффективно легкие передают кислород в кровь.
Исследование проводится при заболеваниях, которые затрагивают альвеолы и межуточную ткань:
Пониженная диффузия часто объясняет необъяснимую одышку при нормальной спирометрии.
Простой тест, который пациенты могут проводить даже дома. Измеряет максимальную скорость выдоха (ПСВ) — важный показатель сужения бронхов.
Пикфлоуметрия используется:
Показатели удобно записывать в дневник, а врач по этим данным корректирует терапию.
Быстрое, безболезненное исследование, при котором на палец надевают небольшой датчик. Он определяет уровень насыщения крови кислородом — сатурацию.
Используется при:
Нормальная сатурация — обычно 95–99%.
Ограничения метода:
Более точный метод оценки дыхания.
Определяет:
Применяется при тяжелых состояниях, в реанимации, при обострениях хронических заболеваний легких или перед серьезными медицинскими вмешательствами.
Эндоскопические методы позволяют врачу увидеть внутреннюю поверхность дыхательных путей изнутри — то, что невозможно разглядеть на рентгене или КТ. С помощью тонкого гибкого инструмента (бронхоскопа) специалист может визуально оценить состояние трахеи и бронхов, взять образцы тканей и даже выполнить небольшие лечебные процедуры.
Кратко:
Бронхоскопия — один из наиболее информативных методов исследования дыхательных путей.
Проводится с помощью гибкого бронхоскопа, который аккуратно вводится через нос или рот в трахею и бронхи. Процедура выполняется под местным обезболиванием, иногда — под седацией для максимального комфорта пациента.
Что позволяет выявить бронхоскопия:
Бронхоскопия особенно важна при длительном кашле неясного происхождения, кровохаркании, подозрении на опухоли и инфекциях, которые плохо поддаются лечению.
Ограничения и риски:
Альтернатива:
Помимо диагностики, бронхоскопия используется и в лечебных целях. В ходе процедуры врач может:
Такие вмешательства помогают значительно улучшить дыхание и ускорить восстановление.
Во время бронхоскопии врач может провести бронхоальвеолярный лаваж — промывание определенного участка легкого небольшим количеством стерильного раствора. Затем полученную жидкость отправляют на анализ.
БАЛ помогает диагностировать:
Метод особенно ценен при неясной одышке и изменениях на КТ, требующих уточнения.
Если на снимках или при осмотре бронхов обнаружены подозрительные изменения, врач может взять небольшой фрагмент ткани — биопсию. Это дает возможность провести точный гистологический анализ и подтвердить диагноз.
Трансбронхиальная биопсия назначается при:
Лабораторные исследования не показывают структуру легких, но дают ценную информацию о процессах, происходящих в организме: воспалении, инфекции, аллергических реакциях, нарушениях обмена и дыхательной функции.
Эти методы дополняют визуальные и функциональные исследования и помогают врачу поставить точный диагноз.
ОАК — один из самых простых и информативных анализов. Он показывает:
По результатам общего анализа врач может заподозрить инфекцию дыхательных путей, хроническое воспаление или аллергический процесс.
Биохимия помогает оценить работу внутренних органов и последствия дыхательной недостаточности. Чаще всего изучают:
Эти данные особенно важны при хронических заболеваниях легких или обострениях астмы и ХОБЛ.
Мокрота — источник информации о состоянии дыхательных путей. Исследование позволяет:
Сбор мокроты чаще проводят утром натощак и отправляют в лабораторию на микроскопическое, бактериологическое и иногда ПЦР-исследование.
Современные методы позволяют точно определить возбудителя инфекции, даже если он присутствует в малом количестве. ПЦР-тесты выявляют вирусы, бактерии и грибки, что особенно важно при:
При кашле, одышке и свистящих хрипах важную роль играет аллергический компонент. Аллергологические тесты помогают определить:
Выявление аллергена позволяет подобрать правильное лечение и исключить провоцирующие факторы.
К ним относятся:
Эти исследования особенно важны для пациентов с хроническими заболеваниями легких и бронхов, а также для тех, кто перенес тяжелые инфекции дыхательных путей.
Лабораторные исследования дыхательной системы (таблица)
| Анализ | Что определяет | Особенности | Когда назначают |
|---|---|---|---|
| Общий анализ крови | Воспаление, анемия, аллергия | Берется из вены или пальца | Кашель, одышка, инфекции |
| Биохимия крови | Работа внутренних органов, последствия дыхательной недостаточности | В лаборатории | Хронические заболевания легких |
| Анализ мокроты | Бактерии, грибки, атипичные клетки | Утром, натощак | Подозрение на пневмонию, хронический бронхит |
| ПЦР-тест дыхательных путей | Вирусы, бактерии | Лабораторный метод | Скрытые или сложные инфекции |
| Аллергологические тесты | Аллергены, IgE | Кожные пробы или кровь | Кашель, свисты, астма |
| Газовый состав крови | Кислород, углекислый газ, кислотно-щелочной баланс | Артериальная кровь | Тяжелые заболевания дыхательных путей |
Помимо визуальных, функциональных и лабораторных исследований, существует ряд дополнительных методов, которые помогают уточнить диагноз и оценить тяжесть заболевания дыхательной системы. Они особенно полезны при хронических патологиях или неясных симптомах.
Провокационные тесты помогают выявить скрытую реакцию бронхов. Чаще всего применяются при подозрении на бронхиальную астму, когда симптомы нестабильны или не выражены постоянно.
Принцип: пациент вдыхает вещество, способное временно сужать бронхи, а затем оценивается реакция дыхательных путей с помощью спирометрии.
Это позволяет врачу определить степень гиперреактивности бронхов и подобрать эффективное лечение.
Тест оценивает физическую переносимость нагрузки и работу дыхательной системы при активности. Пациент ходит в течение шести минут, при этом измеряют:
Тест помогает выявить скрытую дыхательную недостаточность, оценить эффективность лечения и составить индивидуальные рекомендации по физической активности.
Диагностика назначается при:
Своевременное обследование позволяет выявить заболевания на ранней стадии, когда лечение наиболее эффективно, и предотвратить осложнения.
Показания к обследованию дыхательной системы (таблица)
| Симптом / Состояние | Рекомендуемые методы |
|---|---|
| Хронический кашель | Рентген, КТ, спирометрия, анализ мокроты |
| Одышка, свисты | Спирометрия, плетизмография, пикфлоуметрия, пульсоксиметрия |
| Подозрение на астму | Спирометрия, пикфлоуметрия, тест с бронхолитиком, лабораторные анализы |
| Частые инфекции дыхательных путей | Анализ крови, мокроты, ПЦР, рентген |
| Подозрение на опухоль | КТ, МРТ, бронхоскопия, биопсия |
| Наличие плевральной жидкости | УЗИ плевральной полости, рентген |
| Хроническая дыхательная недостаточность | Плетизмография, газовый состав крови, тест шестиминутной ходьбы |
Современные методы диагностики дыхательной системы дают возможность комплексно оценить состояние легких и бронхов. Визуальные исследования выявляют структурные изменения, функциональные — работу дыхательных путей, лабораторные — скрытые процессы и инфекции, эндоскопические — состояние слизистой и возможность взять биопсию.
Врач подбирает комбинацию методов индивидуально, исходя из жалоб, истории болезни и сопутствующих заболеваний. Ранняя и точная диагностика позволяет не только подтвердить диагноз, но и своевременно начать лечение, снизить риск осложнений и улучшить качество жизни.
Для пациентов важно понимать, что регулярное обследование при хронических заболеваниях или наличии факторов риска — ключ к поддержанию здоровья дыхательной системы.
Важно:
Представленная информация носит ознакомительный характер и не является руководством к самодиагностике или лечению. Решение о выборе метода диагностики принимает врач.
Использованные источники и рекомендации:
Автор: медицинский редактор
Медицинский консультант: врач-пульмонолог
Материал подготовлен при участии врача-пульмонолога. Стаж работы — 20 лет. Специализация — диагностика заболеваний дыхательной системы.
Диагностика позволяет выявить заболевания легких и бронхов на ранней стадии, определить причину кашля, одышки и других симптомов, а также подобрать эффективное лечение.
Длительный кашель, свисты и хрипы при дыхании, одышка, боли или давление в груди, частые инфекции дыхательных путей, снижение выносливости.
Пульмонологи, терапевты, аллергологи и в отдельных случаях врачи общей практики.
Профилактические обследования назначают при хронических заболеваниях, вредных привычках, профессиональных рисках или по результатам флюорографии.
Состояние легких, бронхов, плевры, сердечно-сосудистой системы, крупные опухоли, жидкости в плевральной полости, деформации.
КТ дает послойное изображение легких с высокой детализацией, выявляет мелкие очаги воспаления и опухоли, недоступные для рентгена.
При сложных случаях, когда нужна высокая детализация легочной ткани, бронхов и сосудов, или при хронических заболеваниях дыхательных путей.
Для оценки мягких тканей, средостения, крупных сосудов и опухолей, особенно когда КТ недостаточно информативна.
Чтобы определить наличие жидкости, ее объем и структуру, а также состояние диафрагмы.
Исследование объемов и скорости вдоха и выдоха, которое позволяет оценить работу дыхательных путей и степень сужения бронхов.
Общий объем легких, остаточный объем воздуха, сопротивление дыхательных путей, степень обструкции.
Чтобы оценить эффективность переноса кислорода из альвеол в кровь и выявить интерстициальные болезни легких.
Контроль бронхиальной астмы дома, оценка сужения бронхов и эффективности лечения.
Неинвазивный метод измерения насыщения крови кислородом (сатурации), важный при инфекциях и хронических заболеваниях легких.
При тяжелых заболеваниях дыхательной системы, для оценки кислородного обмена и кислотно-щелочного баланса.
Осмотр трахеи и бронхов с помощью гибкого бронхоскопа, позволяющий выявлять воспаление, опухоли и сужения.
Для анализа содержимого бронхов и альвеол, выявления инфекций и воспалительных процессов.
Взятие небольшого участка ткани легкого для гистологического анализа.
Астму, ХОБЛ, опухоли, туберкулез, хронические инфекции и инородные тела.
Да, удаляют слизь, кровяные сгустки, инородные тела и вводят лекарства.
Признаки воспаления, инфекции, аллергии, анемию.
Чтобы оценить работу внутренних органов и последствия дыхательной недостаточности.
Для выявления бактерий, грибков, атипичных клеток и воспалительных процессов.
Для точного определения вирусов, бактерий и грибков при сложных или скрытых инфекциях.
Чтобы выявить аллергены, вызывающие кашель, одышку или бронхоспазм.
Тест, показывающий реакцию бронхов на лекарственный препарат, помогает подтвердить астму.
Чтобы оценить переносимость физической нагрузки и выявить скрытую дыхательную недостаточность.
При хроническом кашле, одышке, свистах, снижении выносливости, частых бронхитах, изменениях на рентгене или КТ.
Некоторые методы, например рентген и КТ, применяются только при необходимости и с защитой, МРТ и УЗИ безопасны.
Да, например тяжелая дыхательная или сердечная недостаточность, острые инфекции, тяжелое состояние пациента.
Да, начиная с 5–6 лет, если ребенок способен правильно выполнять вдохи и выдохи.
Снять металлические украшения, сообщить врачу о беременности, при КТ с контрастом — проверить аллергию на йод.
Рекомендуется ежегодно после 40 лет, а при хронических заболеваниях — по назначению врача.
Комбинация визуальных (КТ), функциональных (спирометрия, DLCO) и лабораторных исследований дает наиболее точную картину.
Некоторые методы, как пульсоксиметрия и пикфлоуметрия, доступны дома, остальные требуют визита в медицинское учреждение.
Cпособность легких переносить кислород в кровь.
Взятие фрагмента ткани легкого для диагностики.
Ощущение нехватки воздуха, трудности с дыханием.
Шум при дыхании, возникающий при сужении дыхательных путей.
Рефлекторное очищение дыхательных путей от слизи и раздражителей.
Процент насыщения крови кислородом.
Комплекс тестов, оценивающих работу легких.
Болезни соединительной ткани легких, нарушающие газообмен.
хроническое заболевание с сужением бронхов и трудностями дыхания.
Хроническое воспаление бронхов с приступами удушья.
Воспаление легочной ткани, чаще инфекционной природы.
Проба для проверки реакции бронхов на лекарство.
Содержание кислорода и углекислого газа в артериальной крови.
Воздух, остающийся в легких после полного выдоха.
Лабораторный тест, показывающий воспаление, анемию и аллергические реакции.
Метод выявления микроорганизмов в дыхательных путях.
Участок уплотненной ткани, часто при воспалении.
Снижение уровня кислорода в тканях.
Визуальный метод диагностики состояния легких и бронхов.
Послойное исследование легких с высокой детализацией.
Высокоточная КТ для выявления мельчайших изменений легких.
Магнитно-резонансное исследование для оценки мягких тканей и сосудов.
Ультразвуковое исследование для выявления жидкости и состояния диафрагмы.
Лекарство, расширяющее бронхи.
Хроническое расширение альвеол с разрушением стенок.
Системное заболевание с образованием гранулем в легких.
Воспаление плевры с возможным скоплением жидкости.
Сужение просвета бронхов.
Исследование ткани под микроскопом для постановки диагноза.
Посторонний предмет, попавший в дыхательные пути.
Повышенная чувствительность бронхов к раздражителям.
Снижение функции дыхательной системы в течение длительного времени.
Жидкость в плевральной полости, которая может указывать на патологию.
Замещение нормальной легочной ткани соединительной, затрудняющее дыхание.
2025.12.16
